
Lung cancer is the third most common cancer in the UK. We played a vital role in reducing the burden of lung cancer through our work to lower smoking rates and protect people from second-hand smoke, but it's still the leading cause of cancer deaths in the UK. Lung cancer survival has lagged behind other cancers, so our scientists are leading the quest for better treatments to bring hope to patients.
Read some examples of ways we've influenced progress in lung cancer

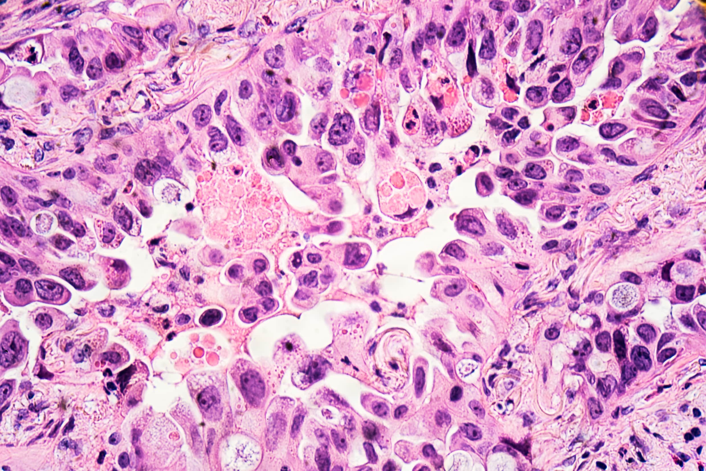
TRACERx is our flagship multimillion-pound investment in lung cancer research and is revolutionising the way we think about lung cancer. Since 2014, it's uncovered new insights into how tumours evolve over time and in response to treatments. This vital information has changed how we view lung cancer and opened the door to find new ways to treat it more effectively.

Early TRACERx research revealed that a simple blood test can predict whether a person’s cancer will return after surgery. By detecting traces of tumour DNA in the blood, researchers can tell whether the disease will return up to a year before the tumour is seen on a scan.

Most recently, results from TRACERx have shed light on how air pollution could cause cancer in people who have never smoked. Scientists at the Francis Crick Institute and University College London found that exposure to air pollution promotes the growth of cells carrying cancer-causing mutations in the lungs.

The TRACERx study has also generated a wealth of data that has been made available to other scientists to use. For example, the Cancer Grand Challenges team CANCAN are tapping into this data to explore cancer cachexia – a wasting syndrome many people with cancer experience characterised by extensive weight loss – in people with lung cancer.

In November 2022, Cancer Research UK announced TRACERx EVO. The TRACERx EVO consortium involves international experts from across Europe and North America – combining world-leading scientific and clinical expertise to build on the wide-reaching foundations laid by TRACERx.

From studying the biology of lung cancer cells in the lab to leading clinical trials testing cutting-edge treatments, our researchers are working hard to ensure more people survive lung cancer.

Thanks to research, we’ve helped change the outlook for people with lung cancer.

Meet people like Jennifer who have experienced first-hand how our research is making a difference. The life-saving research we do wouldn’t be possible without your support.
Over the last 40 years, cancer survival in the UK has doubled. In the 1970s just 1 in 4 people survived their disease for 10 years or more. Today 2 in 4 survive.
We want to accelerate progress and see 3 in 4 patients surviving the disease by 2034.
Browse the latest news, analysis and opinion from Cancer Research UK.
Want to find more information about our research or lung cancer?