Tests and scans

There are different types of tests using x-rays, including:
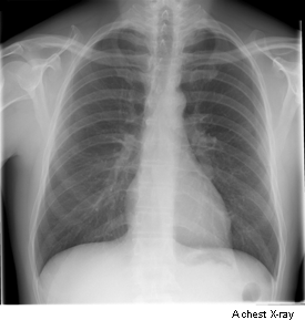
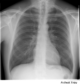
chest x-rays to show fluid, signs of infection, an enlarged heart or tumours in the chest such as lung cancer
x-rays of the bones to show breaks (fractures), degenerative changes, infection or tumours
x-rays of the breasts (mammograms)
dental x-rays to look at the teeth and jaw
real time x-ray (fluoroscopy) to help doctors put in stents or wires. Or to look at blood vessels (angiography), or to show the outline of body structures (barium x-rays)
CT scans - these are a series of x-rays of an area of the body to build up a 3 dimensional (3D) picture
You usually have x-rays in the imaging department of the hospital, taken by a radiographer.
There is no special preparation for a standard x-ray. You can eat and drink normally and you can take your medicines as usual beforehand.
If you are having another type of x-ray, for example, a CT scan, or barium x-ray, you might need to stop eating and drinking for a certain amount of time before the test. Your appointment letter will have instructions that you need to follow.
When you arrive, the radiographer might ask you to remove clothes with zips or metal and change into a hospital gown. They might also ask you to take off any jewellery. This depends on which part of your body is being x-rayed.
You usually have a chest x-ray standing up against the x-ray machine. If you can’t stand you can have it sitting or lying on the x-ray couch. For x-rays of other areas of the body the best position is usually lying down on the x-ray couch.
The radiographer lines the machine up to make sure it's in the right place. It is important to keep very still to prevent blurring of the picture.
The radiographer then goes behind a screen. They can still see and hear you. They might ask you to hold your breath for a few seconds while they take the x-ray.
X-rays are painless and quick. You won’t feel anything.
You might have more than one x-ray taken from different angles. The whole process may take a few minutes.
After the x-ray you can get dressed and go home or to work.
An x-ray is a safe test for most people but like all medical tests it has some possible risks. Your doctor and radiographer make sure the benefits of having the test outweigh these risks.
The amount of radiation you receive from an x-ray is small and doesn't make you feel unwell.
The risk of the radiation causing any problems in the future is very small. The benefits of finding out what is wrong outweigh any risk there may be from radiation.
Talk to your doctor if you are worried about the possible effects of x-rays.
It is very important to tell your doctor or radiographer if you are pregnant or think you may be pregnant. X-rays could affect your developing baby.
You should get your x-ray results within 1 to 2 weeks. Contact the doctor who arranged the test if you haven’t heard anything after a couple of weeks.
Waiting for test results can be a worrying time. You might have the contact details of a specialist nurse who you can speak to for information and support if you need to. It may also help to talk to a close friend or relative about how you feel.
We have more information on tests, treatment and support if you have been diagnosed with cancer.
Last reviewed: 23 May 2025
Next review due: 23 May 2028
Search for the cancer type you want to find out about. Each section has detailed information about symptoms, diagnosis, treatment, research and coping with cancer.
Find out about tests to diagnose cancer and monitor it during and after treatment, including what each test can show, how you have it and how to prepare.
A CT scan is a test that uses x-rays and a computer to create detailed pictures of the inside of your body. Find out how you have it and what happens afterwards.
A mammogram is an x-ray of your breasts. This test is used to help diagnose breast cancer and other breast conditions.

About Cancer generously supported by Dangoor Education since 2010. Learn more about Dangoor Education
Search our clinical trials database for all cancer trials and studies recruiting in the UK.
Connect with other people affected by cancer and share your experiences.
Questions about cancer? Call freephone 0808 800 40 40 from 9 to 5 - Monday to Friday. Alternatively, you can email us.